Θρησκεία & ανταμοιβή
Η θρησκευτική πίστη ενεργοποιεί το κέντρο ανταμοιβής του εγκεφάλου. Τα ισχυρά θρησκευτικά συναισθήματα συσχετίστηκαν με την ενεργοποίηση του επικλινή πυρήνα, μια περιοχή στα βασικά γάγγλια του εγκεφάλου που σχετίζεται με την ανταμοιβή, αναφέρει μια νέα μελέτη.
Οι θρησκευτικές και πνευματικές εμπειρίες ενεργοποιούν τα κυκλώματα ανταμοιβής του εγκεφάλου με τον ίδιο τρόπο όπως η αγάπη, το σεξ, τα τυχερά παιχνίδια, τα ναρκωτικά και η μουσική, αναφέρουν ερευνητές της Ιατρικής Σχολής του Πανεπιστημίου της Γιούτα σε δημοσίευσή τους στο περιοδικό Social Neuroscience.
«Αρχίζουμε μόλις να καταλαβαίνουμε πώς ο εγκέφαλος συμμετέχει σε εμπειρίες που οι πιστοί ερμηνεύουν ως πνευματικές, θεϊκές ή υπερβατικές», λέει ο συγγραφέας και νευροραδιολόγος Jeff Anderson. «Τα τελευταία χρόνια, οι τεχνολογίες απεικόνισης του εγκεφάλου έχουν ωριμάσει με τρόπους που μας επιτρέπουν να προσεγγίσουμε ερωτήσεις που υπάρχουν εδώ και χιλιετίες».
Συγκεκριμένα, οι ερευνητές ξεκίνησαν να καθορίσουν ποια δίκτυα εγκεφάλου εμπλέκονται στην εκπροσώπηση πνευματικών συναισθημάτων σε μια ομάδα, ευσεβείς Μορμόνοι, δημιουργώντας ένα περιβάλλον που ώθησε τους συμμετέχοντες να «νιώσουν το Πνεύμα» Ο προσδιορισμός αυτού του αισθήματος γαλήνης και εγγύτητας με τον Θεό στον εαυτό του και στους άλλους είναι ένα κρίσιμο σημαντικό μέρος της ζωής των Μορμόνων – παίρνουν αποφάσεις με βάση αυτά τα συναισθήματα.
Κατά τη διάρκεια των σαρώσεων fMRI, 19 μέλη νεαρών ενηλίκων – συμπεριλαμβανομένων επτά γυναικών και 12 ανδρών – πραγματοποίησαν τέσσερα καθήκοντα ως απάντηση στο περιεχόμενο που είχε ως στόχο να προκαλέσει πνευματικά συναισθήματα. Η εξέταση διάρκειας μιας ώρας περιελάμβανε 6 λεπτά ανάπαυσης, 6 λεπτά οπτικοακουστικού ελέγχου (ένα βίντεο που περιγράφει λεπτομερώς τα στατιστικά στοιχεία της εκκλησίας τους), 8 λεπτά αποσπάσεων από Μορμόνους και παγκόσμιους θρησκευτικούς ηγέτες, 8 λεπτά ανάγνωσης γνωστών αποσπασμάτων από το Βιβλίο του Μόρμον, 12 λεπτά οπτικοακουστικών ερεθισμάτων (βίντεο εκκλησιαστικών οικογενειακών και βιβλικών σκηνών και άλλο θρησκευτικό υποβλητικό περιεχόμενο) και άλλα 8 λεπτά προσφορών.
Κατά τη διάρκεια του αρχικού τμήματος των εισαγωγικών, οι συμμετέχοντες – κάθε πρώην ιεραπόστολος πλήρους απασχόλησης – εμφανίστηκαν μια σειρά από αποσπάσματα, καθένα ακολουθούμενο από την ερώτηση “Νιώθετε το πνεύμα;” Οι συμμετέχοντες απάντησαν με απαντήσεις που κυμαίνονται από «δεν αισθάνονται» έως «πολύ έντονα συναισθήματα».
Οι ερευνητές συνέλεξαν λεπτομερείς εκτιμήσεις για τα συναισθήματα των συμμετεχόντων, οι οποίοι, σχεδόν καθολικά, ανέφεραν ότι βιώνουν τα είδη των συναισθημάτων που χαρακτηρίζουν μια έντονη λατρεία. Περιγράφουν συναισθήματα γαλήνης και φυσικές αισθήσεις ζεστασιάς. Πολλοί ήταν σε δάκρυα μέχρι το τέλος της σάρωσης. Σε ένα πείραμα, οι συμμετέχοντες πατούσαν ένα κουμπί όταν ένιωσαν ένα απόλυτο πνευματικό συναίσθημα ενώ παρακολουθούσαν ερεθίσματα που παράγονται από την εκκλησία.

«Όταν οι συμμετέχοντες στη μελέτη μας είχαν λάβει οδηγίες να σκεφτούν για έναν σωτήρα, για να είναι μαζί με τις οικογένειές τους για την αιωνιότητα, για τις ουράνιες ανταμοιβές τους, ο εγκέφαλος και το σώμα τους ανταποκρίθηκαν φυσικά», λέει ο επικεφαλής συγγραφέας Michael Ferguson, ο οποίος πραγματοποίησε τη μελέτη ως μεταπτυχιακός φοιτητής βιομηχανικής στο Πανεπιστήμιο της Γιούτα.
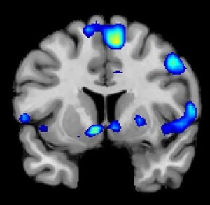
Με βάση τις σαρώσεις fMRI, οι ερευνητές διαπίστωσαν ότι ισχυρά πνευματικά συναισθήματα συνδέονταν με ενεργοποίηση στον πυρήνα, μια κρίσιμη περιοχή του εγκεφάλου για την επεξεργασία ανταμοιβής. Η μέγιστη δραστηριότητα σημειώθηκε περίπου 1-3 δευτερόλεπτα πριν οι συμμετέχοντες πατήσουν το κουμπί και επαναλήφθηκαν σε καθεμία από τις τέσσερις εργασίες. Καθώς οι συμμετέχοντες βίωναν μέγιστα συναισθήματα, οι καρδιές τους χτυπούσαν γρηγορότερα και η αναπνοή τους βάθυνε.
Εκτός από τα κυκλώματα ανταμοιβής του εγκεφάλου, οι ερευνητές διαπίστωσαν ότι τα πνευματικά συναισθήματα που η θρησκευτική πίστη ενεργοποιεί, συσχετίστηκαν με τον μεσαίο προμετωπιαίο φλοιό, που είναι μια σύνθετη περιοχή του εγκεφάλου που ενεργοποιείται από εργασίες που περιλαμβάνουν αποτίμηση, κρίση και ηθική συλλογιστική, καθώς και περιοχές του εγκεφάλου που σχετίζονται με την εστιασμένη προσοχή.
«Η θρησκευτική εμπειρία είναι ίσως το πιο σημαντικό μέρος του τρόπου με τον οποίο οι άνθρωποι παίρνουν αποφάσεις που επηρεάζουν όλους μας, για το καλό και για τους κακούς. Η κατανόηση του τι συμβαίνει στον εγκέφαλο για να συμβάλει σε αυτές τις αποφάσεις είναι πραγματικά σημαντική », λέει ο Άντερσον, σημειώνοντας ότι δεν γνωρίζουμε ακόμη αν οι πιστοί άλλων θρησκειών θα ανταποκρίνονταν με τον ίδιο τρόπο.
Άλλες μελέτες υποδηλώνουν ότι ο εγκέφαλος ανταποκρίνεται πολύ διαφορετικά στις διαλογιστικές και στοχαστικές πρακτικές που χαρακτηρίζουν ορισμένες ανατολικές θρησκείες, αλλά μέχρι στιγμής λίγα είναι γνωστά για τη νευροεπιστήμη των δυτικών πνευματικών πρακτικών.
Σχετικά με αυτό το ερευνητικό άρθρο της νευροεπιστήμης
Η μελέτη είναι η πρώτη πρωτοβουλία του Προγράμματος Θρησκευτικού Εγκεφάλου, που ξεκίνησε από μια ομάδα ερευνητών του Πανεπιστημίου της Γιούτα το 2014, η οποία στοχεύει στην κατανόηση του τρόπου λειτουργίας του εγκεφάλου σε άτομα με βαθιά πνευματική και θρησκευτική πίστη.
